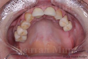
Пациент пришел с проблемой отсутствия зубов. Как видно по фотографии, старые реставрации и коронки потеряли эстетику. Отсутствуют 3 зуба сверху и 3 зуба снизу. В переднем отделе прямой прикус, в боковых - обратный.
Верхняя и нижняя оклюзионные фотографии показывают общую ситуацию: отсутствующие зубы, их расположение и смещение.
На основе полученных рентгенографических исследований было решено, что корень 48 зуба также подлежал удалению из-за сильного смещения в область 47 зуба и наклона относительно зубной дуги. Для лучшего протезирования, в районе 44-47 зуба было решено установить 4 имплантата. 48 зуб должен был быть удален в то же посещение в процессе операции по имплантации зубов.
Когда устанавливается большое количество имплантатов, очень важно заранее все запланировать. Для этого были изготовлены рентгено-контрастные шаблоны и проведено 3D моделирование имплантации, определены имплантаты и места их установки.
На фото показаны изготовленные имплантационные шаблоны.
Имплантация проходила следующим образом. Сначала было проведено удаление 48 зуба.
После, врач установил имплантационный шаблон и по нему установил имплантаты. Описание короткое, т.к. имплантация прошла очень быстро.
Ортопедическая часть работы также начиналась с моделирования. На снимках показаны так называемые модели wax up.
Были сделаны mock up модели зубов, чтобы увидеть как будут выглядеть коронки во рту. Внешний вид будущих зубов устроил пациента.
На фотографиях ниже показано препарирование зубов под коронки, обратите внимание на уступ. А чтобы на время изготовления постоянных протезов пациент не ходил «без зубов» были сделаны временные коронки (обращаем внимание, что живые зубы не депульпировались).
В принципе, не всякие постоянные коронки выглядят так же как эти временные. Техники с докторами постарались.
Постоянные коронки на модели и во рту сразу после установки.
Постоянные коронки через 2 недели на контрольном осмотре, рядом фотография улыбки пациента.
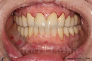
Фотография до и после работы.
© 2005 — 2025 г. Стоматологическая клиника «Дентал Мир».
Режим работы: Ежедневно с 10:00 до 21:00.
Лицензия № ЛО-77-01-014496 от 03.07.2017 г. выдана ДЕПАРТАМЕНТОМ ЗДРАВООХРАНЕНИЯ ГОРОДА МОСКВЫ
© 2005 — 2025 г. Стоматологическая клиника «Дентал Мир».
Режим работы: Ежедневно с 10:00 до 21:00.
Лицензия № ЛО-77-01-014496 от 03.07.2017 г. выдана ДЕПАРТАМЕНТОМ ЗДРАВООХРАНЕНИЯ ГОРОДА МОСКВЫ