Показания: Твердый наддесневой и поддесневой зубной налет
Длительность: ~ 30 минут
Эффект: от 4 мес. до 1 года
Наиболее эффективно: Зубодесневые карманы менее 5 мм
Противопоказания: Есть, необходима консультация
Дополнительно: Эффект достигается за счет воздействием на зубной камень ультразвуковых волн и за счет эффекта кавитации воздушных пузырьков в объеме жидкости, подающейся в зону обработки
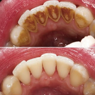
Ультразвуковая чистка зубов – современная методика профессионального очищения поверхности зубов от зубного камня и твердого зубного налета. В нашей клинике эта процедура проводится либо отдельно или в составе комплексной гигиенической очистки полости рта.
Обращаем внимание, что эта процедура не является отбеливающей и даже осветляющей. Возможный эффект осветления дают два фактора: первый – удаление зубных отложений, которые имеют желтый или коричневый оттенок (вместе с камнем частично удаляется окраска зубов), а также из-за полировки зубов, которая обычно выполняется после чистки.
Полный гигиенический комплекс: Ультразвуковая чистка, Air Flow, полировка, глубокое фторирование всех зубов и профилактический осмотр полости рта.
Время приёма с 9.00 до 16.00 
Даже регулярная гигиена полости рта не гарантирует стопроцентного очищения поверхности зубов; скоплению налета особенно подвержены промежутки между нижними резцами (вы можете наблюдать это в зеркале), поддесневые пространства и задняя сторона зубов. Мягкий налет со временем затвердевает, превращаясь в зубной камень – удаление его из десневых карманов в домашних условиях невозможно.
Если зубной камень не удалять, то происходит постепенный его нарост в зубодесневом кармане, отделение и воспаление десен и, самое худшее, в запущенных случаях возможен разрыв периодонтальной связки между зубом и периодонтом, который необратим.
Внимание: непосредственно ультразвуковая чистка исключительно удаляет твердый и мягкий зубной налет, но не удаляет пигментированный налет и не полирует поверхность зубов.
Зубной камень не просто нарушает эстетику улыбки, но приводит к заболеваниям десен, появлению неприятного запаха изо рта, развитию кариеса под зубными отложениями и, в запущенных случаях, к потере зуба.
Регулярная чистка зубов при помощи ультразвука удаляет твердый зубной налет с поверхности зубов и из неглубоких периодонтальных карманов (максимум до 5 мм), процедура проводится при помощи специального аппарата – стоматологического скалера (скейлера). Прибор может быть встроенным в стоматологическую установку или автономным.
Ультразвуковой скалер состоит из блока управления и генерации колебаний, наконечника, съемных (сменных) насадок и педали управления. Прибор оснащается системой подачи жидкости. Во время работы аппарат создает ультразвуковые колебания частотой 25-30 кГц, которые передаются на насадку наконечника.
Физический принцип действия: ультразвуковая волна передается с наконечника на насадку скалера, который в свою очередь переносит ее на зубные отложения. Под ее воздействием, отложения разрушаются изнутри. Чтобы исключить повреждение зубной эмали, стоматолог осуществляет движения насадкой строго вдоль поверхности зуба. Одновременная подача воды в зону воздействия ультразвука провоцирует эффект кавитации, образованию в объеме микро-пузырей, которые ускоряют процесс разрушения зубного камня. Одновременно вода или лекарственный раствор, способствуют вымыванию разрушенных ультразвуком зубных отложений из зоны обработки.
Первые аппараты для ультразвуковой чистки зубов, появившиеся в 60-х годах прошлого века, были несколько несовершенны, и после их применения могли появиться повреждения эмали. Поэтому зубной налет и камень чаще очищали ручным способом. Современные ультразвуковые установки абсолютно безопасны, их применяют не только для удаления зубного камня, но и для снятия коронок, малоинвазивного препарирования пораженных кариесом участков эмали, ухода за дентальными имплантами.
К преимуществам ультразвуковой чистки зубов относят:

В чистке зубов ультразвуком с целью профилактики образования зубных отложений нуждается практически каждый взрослый человек, но есть категории, которым рекомендуется выполнять процедуру в первую очередь:
Как и любая врачебная манипуляция, чистка зубов ультразвуком имеет свои противопоказания:
В предположении, что анамнез собран, а пациенту даны все необходимые разъяснения, чистка зубов ультразвуком проводится в следующей последовательности:





Для более эффективной чистки зубной поверхности мы рекомендуем своим пациентам проходить комплексную чистку ротовой полости, которая включает в себя:

Если пациент после проведения комплексной гигиенической чистки полости рта соблюдает правила по уходу за ротовой полостью, то он снижает вероятность повторного образования зубного камня, т.к. предотвращает затвердевание мягких зубных отложений, которые неизбежно скапливаются на поверхности зубов. Поэтому во время следующего профилактического осмотра чистка зубов может ограничиться применением метода Air Flow, для удаления окрашенного зубного налета.
Для пародонтальных карманов глубже 5 мм, рекомендуется прохождение процедуры удаления твердых отложений аппаратом вектор.
После процедуры, особенно, если было удалено много налета, наблюдается несколько повышенная чувствительность зубов к температурным и химическим раздражителям, поэтому в течение суток после чистки пациентам рекомендуется воздерживаться от употребления чрезмерно горячей, холодной, кислой и соленой пищи. Целесообразно пару дней соблюдать «белую диету», как после отбеливания зубов, исключить из рациона сильно красящие продукты (красное вино, кофе, черный чай, свеклу, некоторые яркие фрукты и соки из них), чтобы очищенная эмаль не адсорбировала в себя пищевые красители, и напротив, обогатить его твердыми и содержащими волокна продуктами, которые окажут профилактику появления налета и камней (фрукты, овощи, орехи и т.д.).
Если чувствительность ярко выражена, рекомендуется на несколько дней заменить обычную зубную щетку щеткой с мягкой щетиной, приобрести зубную пасту, снижающую чувствительность.
После каждого приема пищи нужно полоскать рот чистой водой – это правило нужно соблюдать не только после чистки ультразвуком, но и постоянно.
В первые день иди два так же рекомендуют чистить зубы после каждого приема пищи.
УЗ-чистка зубов это безболезненная процедура, но она может сопровождаться незначительными неприятными ощущениями при наличии поддесневых зубных отложений – для их удаления требуется немного потревожить десну. Также на болезненность могут жаловаться пациенты с повышенной чувствительностью эмали. В таких случаях, врач проведет чистку с максимальным комфортом для пациента, применив местную анестезию.
Нет, отбеливание – совершенно другая процедура, ее проводят с использованием специальных отбеливающих составов, которые наносят на зуб. Небольшое осветление эмали связано с тем, что после ультразвуковой чистки проводят полировку поверхности зубов, иногда разница в цвете хорошо заметна.
Нет, не правда. Напротив, после ультразвуковой чистки с последующей полировкой эмали зубной налет появляется медленнее. Предотвратить его появление помогает соблюдение гигиены полости рта: ответственная чистка зубов не менее 2-х раз в день, полоскание полости рта после еды, выбор подходящей зубной пасты. Быстрому появлению налета способствуют курение, злоупотребление чаем и кофе, нарушение обмена веществ в организме.
При правильном проведении процедуры повреждение зубной эмали исключено. Слабую и тонкую эмаль, после чистки дополнительно укрепляют реминерализующими гелями, происходит активное насыщение эмали микроэлементами, она становится прочнее.
Острое воспаление десен, сопровождающееся кровотечением, в большинстве случаев является противопоказанием к ультразвуковой чистке зубов до снятия острых симптомов. Мы предлагаем своим пациентам снятие зубного камня одновременно с лечением десен при помощи аппарата Вектор. Это ультразвуковой скалер специальной конструкции, который оснащен уникальным наконечником Paro, создающим особые ультразвуковые колебания. Аппарат позволяет проводить более глубокую обработку пародонтальных карманов, если у пациента диагностирован пародонтит; одновременно с удалением зубных отложений происходит полировка эмали специальной полирующей жидкостью. После его применения полностью устраняются наддесневые и поддесневые отложения, воспаление мягких тканей и кровоточивость, исчезает неприятный запах изо рта, восстанавливается здоровье ротовой полости.
Ультразвуковая чистка зубов не только разрешена беременным женщинам, но и рекомендована к обязательному проведению. Это объясняется частым возникновением проблем с зубами и деснами у беременных из-за гормональных перестроек, необходимостью санации полости рта перед родами. Процедура полностью безопасна для здоровья будущей мамы и ее малыша, но все же перед ее проведением нужно проконсультироваться с гинекологом.
Своим пациентам мы рекомендуем проводить чистку зубов ультразвуком каждые 6-12 месяцев, иногда при повышенной склонности к образованию зубных отложений чистка проводится чаще. Лучшим решением является проведение комплексной гигиенической чистки полости рта, что помогает сохранять здоровье полости рта и свежесть дыхания.
Ультразвуковая чистка зубов помогает предотвратить развитие множества стоматологических заболеваний, поэтому не стоит пренебрегать этой процедурой.
Один из первых вопросов, которые интересуют пациентов – сколько стоит чистка зубов ультразвуком? Данная процедура одна из самых доступных в стоматологии, ее стоимость зависит от индивидуальных особенностей организма, в частности, у некоторых людей, зубной камень практически полностью растворяется слюной, у кого-то зубодесневые карманы не образовываются, или обратный пример, при наличии сильной кривизны зубов, твердый зубной налет образовывается настолько сильно, что для его тщательного удаления потребуется час и более.
В нашей клинике, стоимость ультразвуковой чистки зубов фиксирована и неизменна. Для сложных случаев, наша однозначная рекомендация - применение аппарата вектор.
Цены на чистку зубов ультразвуком в стоматологии Dентал Мир.
| Ультразвуковая чистка всех зубов | 6500 pуб. | 
| Профилактическая чистка Air Flow всех зубов | 4500 pуб. | 
| Полировка пастой всех зубов | 3500 pуб. | 
| Аппликация фторосодержащими препаратами всех зубов | 2500 pуб. | 
| КОМПЛЕКСНАЯ гигиеническая чистка всей полости рта (Ультразвуковая чистка, AirFlow, Полировка, Фторирование) | 11000 руб. | 
| Лечение десен аппаратом «VECTOR PARO» всех зубов | 30000 руб. | 
| Лечение десен аппаратом «VECTOR PARO», 1 сегмент (квадрант) | 15000 руб. | 
| Полный пародонтологический и гигиенический комплекс всей полости рта (Ультразвуковая чистка, AirFlow, Полировка, Фторирование+VECTOR PARO) | 35000 руб. | 
| Обработка десен диодным лазером | 7500 pуб. | 
| Герметизация фиссур жидким композитом, 1 зуб | 2500 pуб. | 
| Чистка корней зубов и пародонтальных карманов аппаратом Vector в одном сегменте (от 1 до 8 зубов) | 12000 pуб. | 
| Чистка корней зубов и пародонтальных карманов аппаратом Vector всей полости рта (до 32 зубов) | 22000 pуб. | 
| Наложение пародонтальной повязки | 2000 pуб. | 
 
                                    
                                    Врач-стоматолог-ортодонт
Правила гигиены при ортодонтическом лечении
Читать дальше© 2005 — 2025 г. Стоматологическая клиника «Дентал Мир». 
Режим работы: Ежедневно с 10:00 до 21:00.
Лицензия № ЛО-77-01-014496 от 03.07.2017 г. выдана ДЕПАРТАМЕНТОМ ЗДРАВООХРАНЕНИЯ ГОРОДА МОСКВЫ
    
   
 
   
© 2005 — 2025 г. Стоматологическая клиника «Дентал Мир».
Режим работы: Ежедневно с 10:00 до 21:00. 
Лицензия № ЛО-77-01-014496 от 03.07.2017 г. выдана ДЕПАРТАМЕНТОМ ЗДРАВООХРАНЕНИЯ ГОРОДА МОСКВЫ