Автозаводская
10 мин. пешком

Кожуховская
10 мин. пешком

Коломенская
5 мин на маршрутке

Ежедневно:
с 10:00 до 21:00

Москва,
ул. 6-я Кожуховская д.3к1

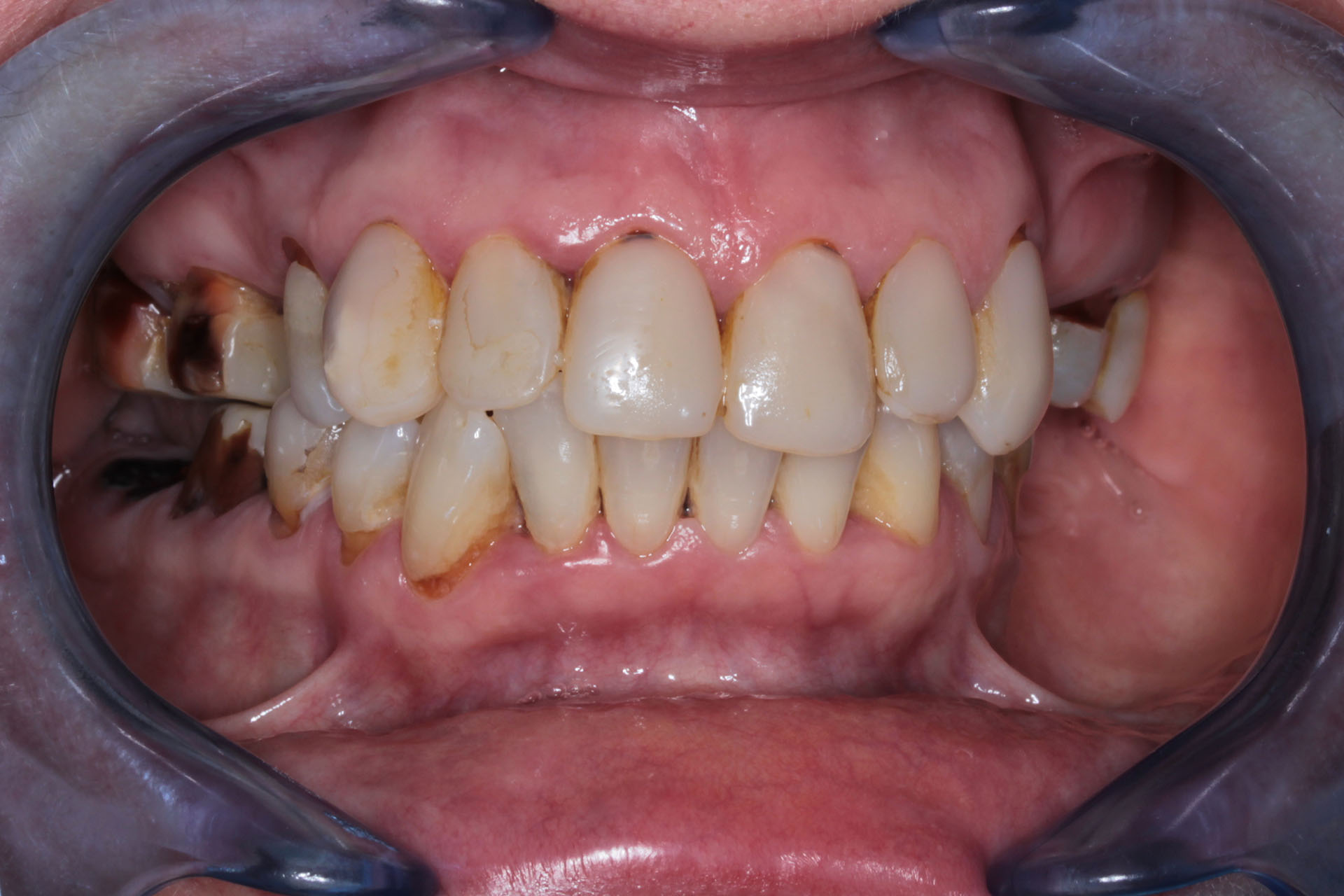
Фотографии проведенного лечения по имплантации и протезированию зубов

У меня похожая ситуация, и меня интересует как вы можете ее решить

Или звоните, мы подскажем:

+7 (495) 790-70-05

Экспертное мнение

Врач-стоматолог-ортопед, гнатолог, хирург. Главный врач

Алимов Фаррух Казимович

Имплантация зубов под ключ

Читать дальше

Врач-стоматолог-ортопед, гнатолог, хирург. Главный врач

Алимов Фаррух Казимович

Цифровой дизайн улыбки

Читать дальше

Отзывы

1 апреля 2015

Всё отлично и по делу
Все по делу. Грамотно, дружелюбно, с уважением. Супер! Такого сейчас и не...

подробнее

Фоменко Антон

4 июля 2019

С удовольствием бы...
Я обратился в стоматологическую клинику «Дентал Мир» для...

подробнее

Владимир Доржиев

,

Автозаводская
10 мин. пешком

Кожуховская
10 мин. пешком

Коломенская
5 мин на маршрутке

Ежедневно с 9.00 до 21.00

Москва,
ул. 6-я Кожуховская д.3к1

Продолжая пользование данным сайтом, я выражаю свое согласие ООО "Медимпорт" (ул. 6-я Кожуховская, дом 3, корп. 1, Москва, Россия 115193) на обработку моих персональных данных с использованием интернет-сервисов Яндекс Метрика и/или Google Analytics. С Политикой ООО "Медимпорт" в отношении обработки персональных данных ознакомлен(-а).